
L’ortodonzia è il settore dell’odontoiatria che si occupa della diagnosi, della prevenzione e della cura delle malocclusioni, presenti qualora vi sia una cattiva relazione di combaciamento fra l’arcata dentaria superiore (mascellare) e quella inferiore (mandibolare).
Presso il Centro Medico Vesalio di Padova e la Vesalio Dental Clinic di Venezia, ci occupiamo sia di ortodonzia linguale sia di ortodonzia invisibile.
È possibile prenotare la propria visita odontoiatrica attraverso questo modulo o contattando telefonicamente le rispettive sedi.
Di seguito, un approfondimento di cosa si intende per ortodonzia, i metodi e gli strumenti che applichiamo nella pratica ortodontica presso i nostri centri.
Tavola dei contenuti
- Ortodonzia: cura della malocclusione
- Casi clinici
- Ortodonzia: prevenzione e trattamento
- Denti del giudizio e intervento di ortodonzia
- Movimento ortodontico chirurgicamente guidato – Corticotomie
- Apparecchi ortodontici
- Apparecchio mobile o rimovibile
- Apparecchio ortodontico fisso
- Elastici separatori
- Elastici ortodontici
- Espansore rapido del palato
- Twin block
- Pendulum
- Maschera di Delaire
- Arco linguale
- Contenzione fissa – splintaggio
- Placca o mascherina di contenzione mobile
Ortodonzia: cura della malocclusione

Le malocclusioni sono prodotte da anomalie della posizione e dello sviluppo dei denti (disallineamento dentale) e da alterazioni costituzionali delle ossa mascellari e mandibolari.
Obiettivo dell’ortodonzia é trattare e correggere tali anomalie che possono avere ripercussioni importanti sia a livello funzionale che estetico, inducendo disturbi a carico della muscolatura masticatoria e delle articolazioni temporo-mandibolari.
Le malocclusioni dentali inoltre (anche in situazioni di compromissione non grave), provocano significative alterazioni dell’equilibrio fra struttura dentale, strutture ossee, muscolari e tendinee ad essa collegata e sistema neuromuscolare e osteoarticolare. Ciò significa che le patologie occlusali potrebbero agire negativamente a livello della colonna vertebrale e a livello cranico, provocando cefalee, squilibri posturali, algie cervicali e vertebrali, disturbi della vista e dell’udito.
L’ortodonzia moderna non si limita dunque al corretto allineamento dei denti ma promuove il raggiungimento di un equilibrio ottimale fra efficienza della masticazione, salute dentale, estetica del sorriso e benessere complessivo del paziente.
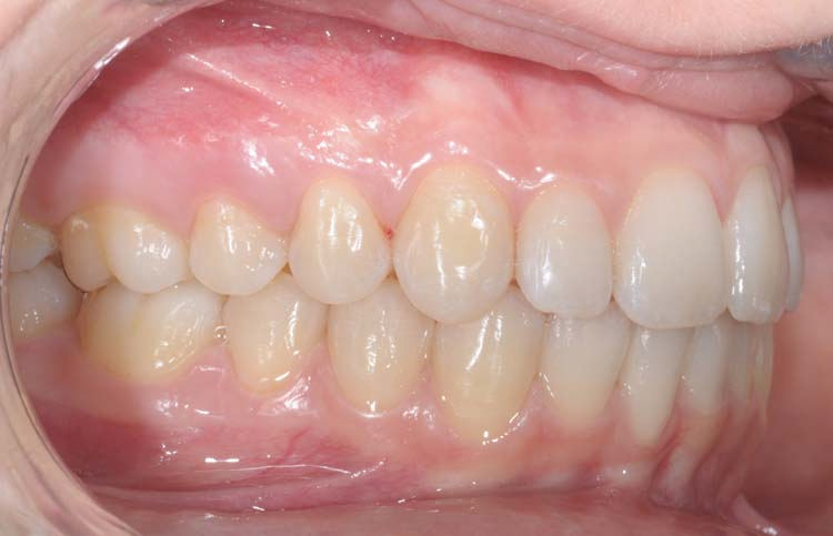
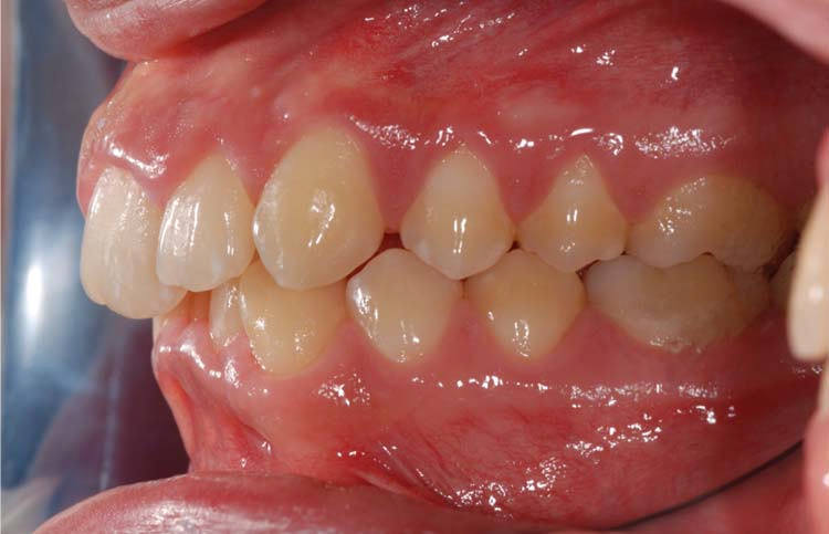
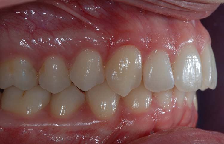
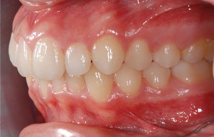
Casi clinici
Caso clinico 1
Caso clinico 2
Caso clinico 3
Caso clinico 4
Caso clinico 5
Caso clinico 6
Ortodonzia: prevenzione e trattamento
É possibile distinguere tre differenti fasi temporali per il trattamento ortodontico.
- Fase pre-adolescenziale: i piccoli pazienti presentano la dentizione decidua (denti da latte) e l’intero complesso maxillo-facciale in via di sviluppo. La terapia ortodontica, cosiddetta intercettiva, mira in questa fase a correggere gli squilibri strutturali in modo da promuovere un armonico sviluppo delle arcate dentarie. É in questa fase che si correggono anche le abitudini viziate quali il succhiamento del pollice o del ciuccio, l’onicofogia (il mangiarsi le unghie), la deglutizione atipica o la respirazione orale così come le arcate dimensionalmente non coordinate (morsi incrociati, morso aperto anteriore, morso profondo).
- Fase adolescenziale: in presenza di una dentatura definitiva e di un completo sviluppo scheletrico (fase corrispondente al picco puberale). La terapia ortodontica mira al raggiungimento di un adeguato equilibrio funzionale coordinato con una ottimale estetica del sorriso. La salute della bocca e la buona occlusione deve essere contestualizzata al paziente e alle sue caratteristiche estetiche. Nei casi di significative disarmonie dentali o scheletriche può essere necessario ricorrere a terapie ortodontiche estrattive o chirurgiche.
- Paziente adulto: la terapia ortodontica è finalizzata a ripristinare un’adeguata estetica del sorriso con una occlusione bilanciata e stabile.
La perdita di elementi dentari a causa di estrazioni o riassorbimento dell’osso di sostegno dei denti (malattia parodontale o piorrea), provoca uno spostamento dei denti e un cambiamento dei rapporti di occlusione (malocclusione), rendendo necessario un intervento ortodontico correttivo.
Qualora nell’adulto si presentino squilibri scheletrici importanti, la terapia ortodontica dovrà essere accompagnata da un trattamento micro-chirurgico o chirurgico.
Vi è la possibilità di trattare le malocclusioni degli adulti mediante un’innovativa metodica microchirurgica ad ultrasuoni in grado anche di velocizzare di molto la cura ortodontica. Tale metodica, sviluppata nel nostro centro, tra i primi in Italia, permette la correzione delle malocclusioni in pazienti che sino a poco tempo fa non si sarebbero potuti trattare es: pazienti paradontosici (effetti da piorrea), o pazienti che necessitano di chirurgia maggiore ortognatica.
Denti del giudizio e intervento di ortodonzia
Presso il Centro Odontoiatrico Dott. Finotti, la cura delle malocclusioni dei piccoli pazienti e degli adulti é coordinata da quattro specialisti dell’Università di Padova.
I pazienti che necessitano di interventi ortodontico-chirurgici possono essere seguiti, all’interno del Centro, in ogni fase del loro trattamento, con la possibilità di usufruire di tecnologie e metodiche innovative di microchirurgia, in grado di ridurre notevolmente i tempi della cura.
Movimento ortodontico chirurgicamente guidato – Corticotomie
Nella terapia Ortodontica tradizionale il movimento dentale avviene per il riassorbimento osseo che segue alla compressione del legame paradontale in direzione del movimento dentario e neoformazione ossea nel lato opposto del dente mobilizzato.
Questa tecnica considerata ideale per la terapia del paziente giovane, può non esserlo nel paziente adulto, spesso caratterizzato da una maggiore mineralizzazione ossea e con un metabolismo osseo naturalmente rallentato per situazioni fisiologiche o patologiche. Il movimento ortodontico tradizionale, nell’adulto, con maggior frequenza rispetto all’età adolescenziale, può essere causa di riassorbimento radicolare proporzionale, alla forza applicata all’unità dentale, alla durata del trattamento ortodontico e alle caratteristiche ossee; vero è che il riassorbimento radicolare si è evidenziato anche in assenza di movimento ortodontico, quindi spontaneamente ed anche nei pazienti adolescenti.
Il movimento ortodontico chirurgicamente guidato mediante corticotomie è caratterizzato da una dislocazione-spostamento del dente e della sua corticale nella direzione del movimento e da distrazione-stiramento più rapido, di quanto tradizionalmente avviene, del legamento sulla superficie radicolare opposta del dente interessato; questo è reso possibile da una sottile sezione, che delimita il dente, della corticale dei mascellari nelle zone coinvolte dalla malocclusione.
Oltre alle tecniche corticotomiche ad ultrasuoni, applicate nelle diverse malocclusioni associate alle forze ortodontiche per effettuare lo spostamento dentario, possono essere utilizzate delle metodiche di chirurgia ad ultrasuoni per il trattamento di malocclusioni limitate a ridotti settori dei mascellari od ai singoli elementi dentari grazie ai tagli ossei micrometrici e selettivi che garantiscono massima precisione chirurgica. La microchirurgia in ausilio all’ortodonzia permette quindi anche quei movimenti ortodontici una volta possibili solo nei pazienti adolescenti. Con queste metodiche, possono quindi essere trattati con l’ortodonzia, pazienti anche in condizioni ossee e dentali tali da rendere particolarmente complessa l’eventuale terapia ortodontica con le metodiche routinarie, sino a costituirne una controindicazione come nel caso in cui, per esempio, la malattia parodontale (piorrea) pur trattata coesista con una grave perdita del supporto osseo.
Chirurgia corticotomica su paziente donna di 53 anni
Terapia ortodontica fissa vestibolare di 18 mesi con microchirurgia corticotomica computer guidata ambulatoriale ad entrambe le arcate e riabilitazione implantare.
Chirurgia corticotomica su paziente uomo di 48 anni
Terapia ortodontica fissa linguale di 16 mesi ad entrambe le arcate con microchirurgia corticotomica computer guidata ambulatoriale all’arcata superiore e riabilitazione implantare.
Apparecchi ortodontici
La cura ortodontica é finalizzata al raggiungimento di una nuova posizione dei denti che risponda ad esigenze estetiche e funzionali.
L’ortodontista é lo specialista in grado di progettare lo spostamento dei denti a partire da una diagnosi individuale (realizzata mediante valutazione clinica, fotografica e l’ausilio radiografico), in base alla quale viene selezionata la tipologia di apparecchiatura ortodontica adatta a conseguire l’obiettivo preposto.
La terapia ortodontica si avvale di diversi dispositivi che, generando forze di trazione/pressione, attuano lo spostamento dei denti.
Apparecchio mobile o rimovibile
Si tratta di apparecchi che il paziente può mettere e togliere in autonomia secondo precise indicazioni terapeutiche. Sono realizzati in resina acrilica e possono incorporare porzioni metalliche (viti e ganci).
Questo apparecchio può svolgere molte funzioni come stimolare la crescita mascellare per poter chiudere in modo corretto la bocca. L’apparecchio è mobile, cioè si toglie e si mette, e va portato tutti i giorni per almeno 14/16 ore al giorno altrimenti risulta inefficace.
Va tenuto quindi tutta la notte e di giorno quando si è in casa. Si deve cercare di portarlo regolarmente e di saltare il minor numero di giorni possibile per non perdere quanto si sta ottenendo. Inizialmente si potrebbe avere un aumento della salivazione, è una cosa normale e passerà in breve tempo.
L’apparecchio deve essere mantenuto pulito usando ogni giorno spazzolino e utilizzando con regolarità le pastiglie per pulire gli apparecchi ortodontici. Non usare altri metodi per pulire o disinfettare l’apparecchio perché si potrebbe rovinare.
Apparecchio ortodontico fisso
Sono costituiti generalmente da attacchi in metallo o ceramica (questi ultimi sono poco visibili), applicati direttamente sugli elementi dentali per mezzo di resina adesiva e collegati fra loro da archi in sottile filo metallico. Questi ultimi vengono sostituiti progressivamente durante la cura dall’ortodontista, esercitano le trazioni necessarie allo spostamento dei denti.
Questo apparecchio serve per raddrizzare i denti e dare una corretta masticazione.
I suoi componenti principali sono:
- brackets: piastrine incollate alla superficie esterna o interna dei denti;
- bande: anelli che si posizionano attorno ai molari;
- fili/archi: si inseriscono nei brackets e spostano i denti.
Possono essere di diversi materiali ed esprimono forze diverse.
La sostituzione e l’adattamento progressivo degli archi consentono i realizzare i movimenti dentali programmati; - moduli elastici: consentono al filo di rimanere all’interno del bracket;
- elastici intermascellari: dovrai portarli per far ingranare correttamente i denti;
- molle: si usano per allargare o chiudere gli spazi tra i denti.
L’apparecchio ortodontico fisso può essere portato per un periodo variabile da pochi mesi a qualche anno (secondo le indicazioni dell’ortodontista). Se si staccano gli attacchi è necessario contattare subito il proprio ortodontista. Nel caso gli attacchi creino delle piccole ferite/escoriazioni sulle labbra si consiglia di utilizzare la cera ortodontica. É necessario pulire i denti dopo ogni pasto assicurandosi che non rimangano dei residui tra l’apparecchio e i denti.
Dopo il posizionamento dell’apparecchiatura ci potrebbe essere fastidio/dolore e qualche difficoltà a parlare e a mangiare. É normale, dopo un periodo di adattamento individuale (settimane) questi problemi passeranno. Si consiglia di evitare cibi troppo duri che potrebbero causare il distacco dei brackets. Il distacco di un pezzo dell’apparecchiatura potrebbe causare fastidio o lacerazioni alle labbra o alla lingua. In tal caso chiama l’ortodontista e chiedi una visita il prima possibile.
Se necessario, per il dolore ai denti, si può prendere un antinfiammatorio. Durante la terapia uno o più elementi potrebbero diventare mobili: non c’è da preoccuparsi, alla fine del trattamento i denti torneranno ad essere saldi.
Se si pratica sport di contatto (pugilato, rugby, karate, judo, etc.) è possibile chiedere all’ortodontista di far realizzare una mascherina protettiva da portare durante l’attività sportiva.

Elastici separatori
Nel caso in cui l’ortodontista decida di applicare delle bande (ossia degli anelli metallici) intorno ai denti posteriori (molari definitivi o molaretti da latte) può essere utile applicare davanti e dietro ai molari dei piccoli elastici separatori. Questi elastici vengono inseriti 1-2 giorni prima della visita con l’ortodontista e garantiscono l’apertura di un piccolo spazio che garantirà un più semplice inserimento delle bande metalliche.
Video: il Dott. Finotti parla di Ortodonzia a Canale Italia
Elastici ortodontici

Questi elastici servono a correggere la chiusura della tua bocca e sono un mezzo indispensabile per ottenere una buona occlusione dei denti. Devono essere portati secondo le indicazioni fornite e sostituiti ogni 12 ore circa o secondo le indicazioni del medico.
Gli elastici per il giorno vanno messi la mattina subito dopo aver lavato i denti. Vanno tolti e messi da parte quando si mangia e messi nuovamente dopo aver lavato i denti. Per garantire la giusta trazione, gli elastici devono essere cambiati ogni 12 ore.
Ogni volta che l’elastico viene agganciato sentirai una tensione ai denti che tenderà a svanire nei minuti successivi. Appena agganci gli elastici ti sembrerà di non riuscire ad aprire la bocca, anche questa condizione migliorerà con il passare dei minuti. Se si dovesse avvertire dolore o fastidi eccessivi, soprattutto all’articolazione temporo-mandibolare, vicino all’orecchio, sospendi l’uso degli elastici e contatta l’ortodontista.
Per ottenere un ottimo risultato e per terminare entro i tempi stabiliti la terapia ortodontica è necessario portare sempre gli elastici secondo le indicazioni dell’ortodontista. Nel caso si sospendesse l’uso degli elastici per alcuni giorni è possibile che i denti tornino rapidamente nella posizione sbagliata.
Per applicare gli elastici nei primi giorni è necessaria molta pazienza. Può essere utile esercitarsi davanti allo specchio per capire dove e come agganciarli. Dopo pochi giorni si sarà in grado di inserirli ad occhi chiusi, senza lo specchio e senza perdere tempo.
Espansore rapido del palato

Allarga il palato contratto. Recupera un po’ di spazio per i denti definitivi. Amplia le vie aeree superiori, migliorando la respirazione attraverso il naso.
L’apparecchio è incollato ai denti: così funziona 24 ore su 24. Viene fornita una chiavetta per l’attivazione dell’apparecchio. Va conservata in un luogo sicuro di modo da non perderla. Si raccomanda di eseguire l’esatto numero di giri prescritti dall’ortodontista (non superare mai il numero massimo). Ad ogni giro si potrebbe sentire un po’ di tensione ai denti e sul naso: passa in fretta. Quando si effettuano i giri la chiavetta va impugnata con decisione o legata con un pezzo di filo interdentale al dito. I primi giorni può sembrare di parlare e di deglutire con difficoltà: è normale, in pochi giorni tornerà tutto come prima.
Si consiglia di lavare bene i denti e si eseguire degli sciacqui energici con l’acqua, in modo da mantenere pulito l’apparecchio e rimuovere i resti di cibo che possono incastrarsi sotto l’apparecchio. Se durante l’attivazione si crea un piccolo spazio tra i denti anteriori, non c’è da preoccuparsi: significa che l’apparecchio sta funzionando nel modo corretto. Lo spazio si chiuderà da solo. Si consiglia di evitare i cibi particolarmente duri (es. torrone) o appiccicosi (caramelle, chewing-gum): possono scementare l’apparecchio.
Twin block
Questo apparecchio funzionale viene utilizzato nei giovani pazienti con una malocclusione di seconda classe (mandibola posizionata più indietro della mascella) per stimolare una crescita postero-anteriore della mandibola. E’ un apparecchio rimovibile, da portare per almeno 14 ore al giorno e consta di una parte superiore e di una inferiore. Il momento migliore per l’utilizzo di questo apparecchio è durante il picco di crescita puberale.
Pendulum
Si tratta di un apparecchio distalizzante. Viene applicato sull’arcata mascellare e consente lo spostamento distale (ossia verso l’indietro) dei molari definitivi dell’arcata superiore. Mantenuto in sede per alcuni mesi consente il ripristino di una adeguata chiave di occlusione molare di classe I. Durante questi mesi il paziente potrebbe dover portare degli elastici inermascellari per minimizzare la perdita di ancoraggio ossia lo spostamento non voluto dei denti anteriori.
Maschera di Delaire
Questo apparecchio serve a stimolare la crescita della mascella superiore. La maschera deve essere portata tutti i giorni per il numero di ore stabilito dal’ortodontista, tutta la notte e anche qualche ora di pomeriggio quando si è in casa, cercando il più possibile di non saltare nessun giorno.
Gli elastici vanno agganciati prima nei gancetti presenti nell’apparecchio che si ha in bocca e poi nella maschera, nella modalità indicata (dritti o incrociati). In questo modo l’apparecchio intraorale sarà soggetto ad una maggiore sollecitazione. É importante non giocarci con le dita o con altri oggetti (es. penne o matite) per evitare di romperlo o di farlo staccare. Gli elastici esercitano una forza che può provocare una sensazione di tensione, non ci si deve preoccupare, scomparirà in poco tempo. É importante non rimanere mai senza elastici, che vanno cambiati ogni giorno.
Il supporto mentoniero e quello sulla fronte potrebbero provocare arrossamenti o screpolature della pelle, soprattutto d’estate, se succede è opportuno rivestirli con del tessuto morbido (es. pelle di daino). Infine, è importante riportare la maschera di delaire ad ogni controllo.
Arco linguale
Apparecchio fisso che consta di due anelli metallici applicati sui molari inferiori solidarizzati da un filo metallico che passa dietro ai denti dell’arcata inferiore (posteriormente alla superficie linguale dei denti). Si utilizza per mantenere la lunghezza d’arcata durante la fase di permuta dei denti. Può essere portato per molti mesi, ma risulta non visibile e facile da pulire.
Contenzione fissa – splintaggio
É un piccolo filo metallico che viene incollato sulla superficie interna di alcuni denti dopo la rimozione dell’apparecchio.
Serve per garantire il mantenimento del risultato raggiunto e si utilizza spesso in sostituzione o in abbinamento ad apparecchi removibili.
Per essere certi che i denti non si spostino, si dovrà portare questa contenzione per qualche anno, in seguito potrà essere eventualmente sostituita da una placchetta o mascherina removibile. É importante mantenere la contenzione fissa pulita passando lo spazzolino sulla superficie interna dei denti, senza avere paura di staccare il filo metallico. Si consiglia di utilizzare anche il collutorio e il filo interdentale o lo scovolino così come da istruzioni dell’ortodontista e/o dell’igienista.
Si consiglia di eseguire una seduta d’igiene professionale almeno due volte l’anno dopo aver rimosso l’apparecchio ortodontico fisso.
Se il filo si stacca o da fastidio si consiglia di contattare immediatamente l’ortodontista. Anche in pochi giorni i denti potrebbero spostarsi. Se si nota che i denti si stanno spostando, nonostante il filo metallico sia ben incollato ai denti, contattare subito l’ortodontista, potrebbe essere necessario rimuovere il filo e incollarne uno nuovo.
Placca o mascherina di contenzione mobile
Questo apparecchio serve a mantenere i denti dritti una volta rimosso l’apparecchio ortodontico fisso. I denti hanno una normale tendenza a spostarsi dopo la rimozione dell’apparecchio fisso in quanto il tessuto osseo attorno agli stessi si deve stabilizzare. Per ovviare a questo inconveniente è necessario indossare un apparecchio di contenzione che garantirà la corretta posizione dei denti. Perché questo apparecchio funzioni è assolutamente necessario portarlo secondo le indicazioni fornite dall’ortodontista. Per i primi sei mesi è necessario portarlo togliendolo solo per mangiare e lavare i denti. Dopo i primi sei mesi solo di notte. Se l’apparecchio non viene utilizzato, i denti potranno spostarsi e l’apparecchio dopo qualche giorno potrebbe non calzare più in bocca.
In questo caso è necessario contattare l’ortodontista per rifare un nuovo apparecchio di contenzione. All’inizio sembrerà di parlare con difficoltà e la salivazione potrebbe aumentare, non c’è da preoccuparsi, passerà in fretta.
L’apparecchio va sempre conservato nella scatola consegnata dall’ortodontista, è il modo migliore per non perderlo e non rovinarlo. Ogni volta che ci si lava i denti, per non rovinare l’apparecchio, si consiglia di lavarlo con uno spazzolino morbido e con un po’ di sapone neutro.



































