
Le protesi dentali hanno il compito di riabilitare le funzioni orali dei pazienti affetti da edentulia (mancanza di denti) parziale o totale, mediante la sostituzione dei denti naturali con elementi dentari artificiali. Alcuni tipi di interventi protesici possono essere utilizzati per correggere anomalie funzionali oltre che estetiche di forma, colore o posizione dei denti naturali.
Da 20 anni, Vesalio è presente sul territorio di Padova e Venezia e segue i pazienti con professionalità e competenza in materia di protesi dentali.
PRENOTA ORA UNA VISITA DIAGNOSTICA
Quali sono i tipi di Protesi dentali?
Protesi fissa
Sostituisce gli elementi dentari naturali con manufatti definitivi e stabili. Si tratta di faccette, corone (sostituti artificiali di un solo dente) e ponti (sostituiti di più elementi dentari) cementati a pilastri di sostegno naturali (denti contigui) e perciò non rimovibili dal paziente.
Protesi mobile o parziale
Sostituisce una parte o l’intera arcata dentaria e può essere rimossa dal paziente allo scopo di eseguire le ordinarie manovre di igiene quotidiana.
La protesi mobile può essere:
Parziale: ancorata per mezzo di ganci ai denti naturali residui o di attacchi ad elementi naturali (denti) o artificiali (impianti), solitamente formata da una struttura metallica da cui prende il nome di scheletrato. La presenza di attacchi metallici consente di ottenere un miglior livello di stabilità funzionale e masticatoria e richiede la necessaria protesizzazione di uno o più elementi dentari dove si inseriscono gli attacchi dello scheletrato.
Totale: in mancanza di denti o radici naturali residui, la protesi totale in resina (dentiera) sostituisce una o entrambe le arcate dentarie poggiando unicamente sulle mucose e sull’osso del paziente.Nonostante la stabilità della protesi sia compromessa dal graduale riassorbimento osseo (tale da richiedere regolari “ribasature” da parte del dentista) e l’efficacia masticatoria sia ridotta rispetto ad altre soluzioni protesiche, la protesi totale rappresenta a tutt’oggi una soluzione più economica e meno complessa per ripristinare le funzioni orali del paziente. L’utilizzo di materiali (compositi e ceramiche) innovativi, garantisce la validità funzionale, anallergica ed estetica del risultato.
Protesi combinata
Ripristina l’efficacia dell’arcata dentaria mediante il supporto di denti o impianti in titanio osteointegrati. La protesi è rimovibile ma fissata e resa stabile da dispositivi di ancoraggio che ne assicurano una funzionalità a lungo termine.
Questo tipo di dispositivo, fissandosi a perni artificiali, offre il vantaggio di non scaricare la propria forza masticatoria sui denti residui, minandone progressivamente la salute e la stabilità, come avviene nel caso della protesi parziale o scheletrato.
E’ possibile migliorare la stabilità delle protesi mobili con interventi mini-invasivi, effettuabili anche in pazienti molto anziani e/o con problemi fisici: in questi casi vengono utilizzate tecniche implantologiche a cielo chiuso, senza lembi, non traumatiche e mininvasive. Queste metodiche consentono di migliorare notevolmente la qualità di vita dei pazienti più anziani annullando gli stress psico-fisici da intervento.
Protesi fissa su impianti
La tecnica implantologica prevede la sostituzione di singoli elementi dentali o intere arcate dentarie mediante l’inserimento chirurgico di pilastri in titanio ai quali i denti vengono ancorati in modo definitivo. L’utilizzo di sostegni artificiali integrati nell’osso mandibolare o mascellare consente di preservare la salute dei denti ancora presenti (limati e ridotti nell’applicazione dei ponti) e garantire una completa stabilità. L’implantologia dentale rappresenta oggi la migliore soluzione per una riabilitazione funzionale ed estetica della masticazione.
Protesi avvitata e Protesi cementata
La protesi su impianti può essere avvitata o cementata. Entrambi i sistemi di fissazione sono efficaci e vengono scelti in funzione delle diverse situazioni cliniche che si presentano al professionista. La rimovibilità della protesi su impianti è una grande opportunità che va mantenuta attraverso la cementazione provvisoria e la fissazione della protesi mediante microviti. In qualsiasi momento può essere richiesta la rimovibilità transitoria del manufatto protesico poichè questi sistemi di fissazione lo permettono.
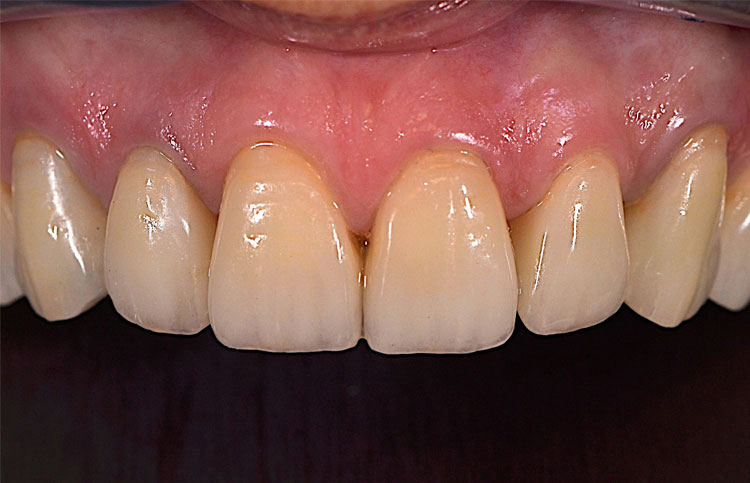
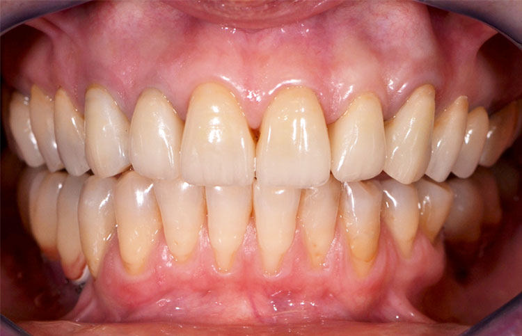
Faccette dentali e materiali
L’applicazione di faccette in porcellana sui denti naturali anteriori, è la tecnica che permette di correggerne gli inestetismi causati da fratture, anomalie di forma e dimensione, difetti di posizione (ad esempio un eccessivo spazio fra i denti) o alterazioni di colore. Le faccette sono costituite da un sottile strato di porcellana incollato sulla “faccia” o superficie visibile del dente: si tratta di un intervento minimamente invasivo in grado di offrire un risultato estetico eccellente, duraturo e stabile nel tempo. Presso il Centro odontoiatrico Dott. Finotti tutte le riabilitazioni protesiche prevedono l’utilizzo dei materiali più innovativi, a garanzia di un trattamento funzionale ed estetico di elevata qualità. L’ausilio dello zirconio (bianco, bio-compatibile e di eccezionale resistenza) e della ceramica integrale (ceramica speciale, poco riflettente e dotata di una trasparenza naturale) consentono di aumentare la traslucenza dei manufatti protesici raggiungendo risultati estetici di assoluta naturalezza. Gli intarsi in ceramica o composito (di colore corrispondente al dente ove si applicano) permettono a loro volta di sostituire anche le obsolete otturazioni in amalgama offrendo garanzie di bio-compatibilità e un’ottima resa estetica. La ricerca di alti standard qualitativi permette a ciascun paziente di ottenere una riabilitazione protesica efficace e personalizzata e il conseguente recupero di una normale vita di relazione e/o professionale.
I materiali con cui può essere realizzato l’elemento protesico
La resina viene confezionata nei colori simili ai denti naturali e, come per la ceramica, può essere caratterizzata individualmente. É utilizzata per i provvisori, cioè per quelle protesi fisse posizionate in bocca per un periodo di tempo limitato, per motivi diagnostici e di verifica, e per il tempo necessario all’odontotecnico per la produzione degli elementi definitivi.
La ceramica, che ormai ha soppiantato ogni altro materiale usato in passato, costituisce il materiale di scelta principale per qualsiasi tipo di restauro protesico. Viene preparata nel laboratorio odontotecnico su “cappette” fuse in oro (struttura che è ricoperta completamente dalla stessa ceramica ), o su cappette in zirconio o da sola nelle forme integrali e poi “cotta” in speciali forni ad alte temperature, per conferirle le caratteristiche di estetica, durezza, trasparenza e levigatezza, che la rendono praticamente uguale ai denti naturali permettendo di posizionarla.
I compositi per la relativa minor durezza rispetto alla ceramica, ma uguale estetica, possono essere utilizzati nelle riabilitazioni implantari.










