
- Ricostruzioni dentali a Padova e Venezia
- Esperti di faccette dentali a Padova e Venezia
- Sbiancamento dentale a Padova e Venezia
- Riabilitazioni protesiche dentali
- Chirurgia orale
- Casi clinici di odontoiatria estetica
Ricostruzioni dentali a Padova e Venezia
Come funziona una ricostruzione dentale presso il Centro Medico Vesalio a Padova e presso la Vesalio Dental Clinic di Venezia?
Si tratta della ricostruzione del dente mediante intarsi e otturazioni in composito o ceramica. L’assenza di metallo e l’elevata trasparenza di questi materiali garantiscono sia un’eccellente bio-compatibilità (minimizzando il rischio di allergie) sia un risultato estetico ottimale.
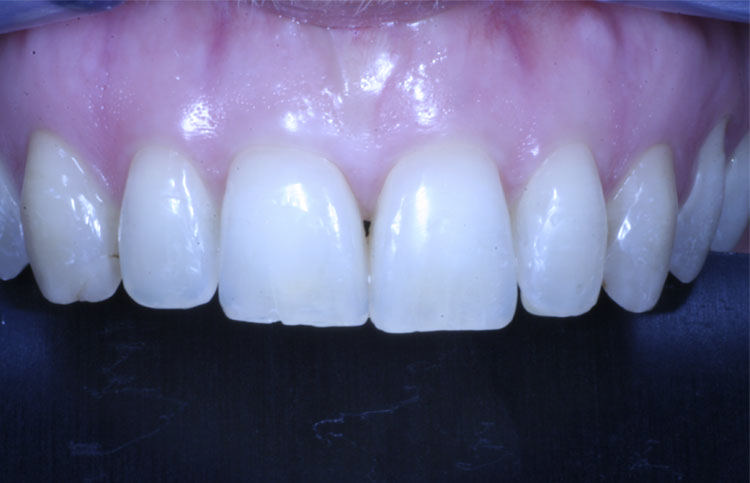
Esperti di faccette dentali a Padova e Venezia
I nostri esperti di faccette dentali a Padova e Venezia utilizzano una tecnica che consente di correggere le anomalie estetiche dei denti anteriori (leggere mal posizioni e inclinazioni o spazio eccessivo fra i denti, alterazioni di colore, forma o dimensione, fratture) mediante l’applicazione di un sottile “guscio” di ceramica. Le faccette vengono incollate sulla parte visibile del dente migliorandone l’aspetto: si tratta di una soluzione minimamente invasiva per il dente naturale, duratura (le faccette sono molto resistenti) e di eccellente resa estetica.
Sbiancamento dentale a Padova e Venezia
Lo sbiancamento dentale professionale che offriamo a Padova e Venezia, consente di riportare il sorriso alla naturale luminosità originaria. Lo smalto dei denti può subire variazioni di colore assorbendo la pigmentazione di particolari cibi o bevande, oppure a causa dell’abitudine al fumo, mentre la dentina, parte interna del dente che la naturale traslucenza dello smalto rende visibile, con il trascorrere del tempo e la progressiva retrazione pulpare tende ad ispessirsi, rendendo il dente più scuro e meno brillante.
Le nostre tecniche ambulatoriali di sbiancamento dentale a Padova e Venezia, permettono a ciascun paziente di scegliere l’intensità del risultato, il quale dipende dalla concentrazione del principio attivo utilizzato e dalla durata del trattamento (tempo di permanenza della soluzione a contatto con i denti).Lo sbiancamento dentale professionale si ottiene con l’applicazione di un gel contenente perossido di idrogeno che viene appoggiato sulla superficie del dente senza minimamente intaccarla.
È possibile inoltre operare trattamenti di sbiancamento su denti singoli: si tratta solitamente di denti devitalizzati (trattati con una terapia di endodonzia) i quali hanno subito un’alterazione di colore (scurimento) a causa della presenza dei materiali di otturazione (cemento canalare e guttaperca) nei tubuli dentinali.
In questi casi, il trattamento superficiale di sbiancamento dello smalto risulta inefficace: occorre aprire la camera pulpare del dente e detergerla con perossido, allo scopo di decolorare lo strato interno del dente.
Riabilitazioni protesiche dentali
L’ausilio di materiali come l’ossido di zirconio (completamente bianco, estremamente resistente), utilizzato nella costruzione dei sostegni e della ceramica integrale (dotata di una naturale traslucenza) consente di ottenere risultati estetici di incredibile naturalezza. È grazie a queste tecnologie che le nostre protesi dentali riescono a restituire un sorriso dall’estetica perfettamente naturale e armoniosa.
Come la chirurgia orale risponde alle esigenze di estetica del sorriso
Attraverso la chirurgia orale ci occupiamo di ricostruzioni estetiche delle anomalie dei tessuti duri ossei e dei tessuti molli gengivali.
La ricostruzione estetica dei tessuti molli di sostegno è molto importante per migliorare l’aspetto complessivo dei denti, in quanto statisticamente, ANCHE l’80% delle persone scopre, sorridendo, parte delle gengive fino al 1° molare.

































